|
17岁少年肺被炸成爆米花,罪魁祸首也许你家也有!最近,被称为“戒烟神器”的电子烟,频繁登上热搜。 17岁加州少年因连续吸食电子烟,整个肺差点废了!
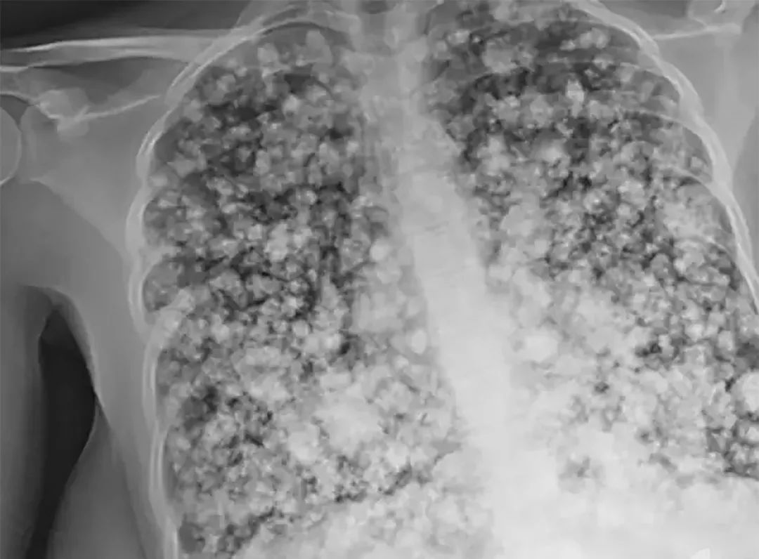
少年因咳嗽入院,本以为只是风寒,但检查结果出来,医生发现他的肺部已经成了“爆米花肺”。
仅仅几个小时后,少年就开始呼吸困难,全身插满了管子。 更可怕的是,医生诊断他的肺已经无法救治,只能进行双肺移植,就算手术成功,可能也只有5-6年的生命…… 5个月前还活蹦乱跳的高中生,人生就此改写,罪魁祸首就是:尼古丁! 少年并不知道,电子烟,并没有想象中那么友好。 虽然电子烟通过加热丝,把烟油雾化成水蒸气供人吸取,不会产生焦油和一氧化碳。 看似很健康,但元凶尼古丁的含量并不比普通香烟低,有些还可能超量! 频繁吸电子烟,有可能导致呼吸急促,哮喘,咳嗽,疲劳,甚至危害生命。 请大家一定要警惕这个香烟界的“新宠”,不要因为它换了个外壳,就掉以轻心。 毕竟,这些年来,被香烟害惨的孩子,太多了…… 看过这样一个揪心的新闻: 山东济宁一个8岁的女孩,被确诊为肺癌晚期。
究其原因,女孩的父亲是个老烟民,每天能吸2包烟,不仅在妻子怀孕期间没有戒烟,女儿出生后,他在家抽烟也依然没有任何避讳。 医生告诉他,孩子就是因为天天被动吸烟,才患上了肺癌。 烟民易患肺癌,这我们都知道。 可是那个8岁的孩子,她又不抽烟,她做错了什么呢?! 这,就是二手烟的可怕之处了。 众多研究表明,烟草的致癌物,是在烟丝燃烧的过程中大量产生的。也就是说,二手烟的危害其实远比抽烟还大。 二手烟,里面含有250多种有毒物质,69种致癌物。 而据统计,我国有1.82亿的非吸烟儿童,无辜的他们,平均每天至少有1次机会暴露于二手烟当中…… 更可怕的是,吸二手烟可能对孩子们造成的伤害,还不止肺癌。 呼吸道疾病、厌食、影响智力发育、中耳炎、过敏性疾病、蛀牙、恶性肿瘤…… 吸烟对孩子的危害,真的太多太多了,而越是幼小的孩子,被影响的概率和程度也就越大、越深。 甚至,有些危害,从孩子还没出生就已经开始了。 英国的一项研究揭示,怀孕妇女吸烟有害胎儿健康,可能反映在胎儿的面部表情上。 研究人员对20名孕妇进行了超声波扫描,其中4名孕妇平均每天抽14根,而另外16名孕妇没有吸烟。 研究发现,与不吸烟的孕妇相比,吸烟孕妇的胎儿会出现较多的碰触自己脸部的痛苦表情。
上面为吸烟孕妇的胎儿 下面为不吸烟孕妇的胎儿 就正常情况而言,随着孕期的增加,胎儿的口部和自我碰触的动作应该越来越少,因为胎儿越来越能控制自己的动作。 而吸烟孕妇的胎儿依然有较多这种动作,意味着胎儿的中枢神经系统发育延迟了。 不止如此,有很多证据表明,孕妇暴露于二手烟中,可能会引起早产、胎儿畸形率增加、智力受到影响,严重者甚至会导致猝死。 所以,不仅准妈妈自己不能抽,家里人也尽量不要抽。
可能有人会说,那我去楼下、去车里、去阳台抽,不在孩子面前吸烟还不行吗? 不行! 因为,在衣服、皮肤上残留的三手烟同样有害,且“作案”时间更长。 什么是三手烟? 所谓「三手烟」,就是吸烟后残留在衣服、头发、皮肤,甚至墙壁、地毯、家具等物体表面和灰尘中的烟雾污染物质,以及,这些污染物与环境中氧化物等发生反应,生成新的污染物。 三手烟的危害,绝对不容我们小觑。
三手烟危害这么大,影响最严重的依旧是孩子。 之前看到过一个数据: 如果你从孩子出生起,开始在他们身边吸烟,到他们5岁时,相当于吸入102包烟。 这个数据可能没那么准确,但是吸烟的危害,却是实打实的。
可能有人会说“我在家也抽烟啊,孩子没事啊,哪就那么娇气!” 那只能说你是幸运的,因为这毕竟是个概率事件。就和闯红灯一样,有的人闯了无数次,也没事,但万一呢? 作为妈妈,我只能说,即便只有百万分之一的概率发生,我也赌不起。 所以如果你一定要抽烟,那至少,请远离我的孩子,更不要一身烟味的就来抱他、亲他。 请把火柴留给孩子的生日蜡烛,而不是留给手上的香烟。 来源:青青莲子 编辑:王晶 上一篇防治高血压,中医有良方下一篇近视防控—小学篇 |







